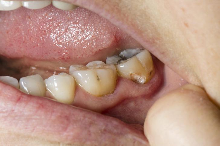
Uzun yıllar, nedeni bilinmeyen bir hastalık gözüyle bakılan diş çürüğünün günümüzde "çok sebebe bağlı bir hastalık" olduğu anlaşılmıştır. Diş çürüğünün başlıca 3 etkeni vardır. Bakteri plağı, karbonhidratlı gıdalar, bünyesel etkenler. Diş sağlığı dengeli olan bir kimsede bu etkenlerden birisi değişikliğe uğrarsa, çürük ortaya çıkar. Peki diş çürüğüyle başa çıkma yöntemleri nelerdir? Hangi ilaç diş çürüğüne iyi gelir? İşte diş çürüğü ile ilgili tüm bilinmeyenler…
Çürük diş kalp sağlığını olumsuz etkiliyor
Uzmanlar, çürük dişin kalp sağlığını olumsuz yönde etkilediğini söylüyor. Diş sağlığı genel anlamda herkes için önemli olmakla birlikte özellikle doğumsal kalp hastalığı olan çocuklarda ve kalp kapak rahatsızlığı olan erişkinlerde çok daha büyük önem kazanmaktadır.
ENFEKSİYONA SEBEP OLUYOR
Çürük dişlere yapılacak olan müdahale sırasında oluşacak bakteriyemi, endokardit adı verilen kalp ve damarların iç yüzeyini örten tabakanın enfeksiyonuna neden olabilir.
DİŞ FIRÇALAMA SIRASINDA...
Diş sağlığına dikkat edilmediği takdirde oluşan çürük dişlerin dolgu ya da çekimi sırasında hatta bazen sadece diş fırçalama sırasındaki oluşan kanamalarla kan dolaşımına karışan enfeksiyon etkenlerin kalpteki sorunlu bölgeye ulaşıp burada çoğalarak ciddi bir kalp enfeksiyonuna sebep olabiliyor.
ÖNEMSEMEDİĞİNİZ DİŞ ÇÜRÜKLERİ KANSERE BİLE NEDEN OLABİLİR
Zamanla geçer diye düşünüp önemsenmeyen ve tedavi edilmeyen diş ve diş eti hastalıkları ya da küçük bir çürük, fokal enfeksiyon risklerine, kalp-damar hastalıklarına, mide hastalıklarına, karaciğer ve böbrek sorunlarına, hatta kansere bile neden olabilir. Erken teşhis tüm hastalıklarda olduğu gibi ağız ve diş sağlığında da oldukça önemlidir.
İŞTE DİŞ ÇÜRÜKLERİ İÇİN TEDAVİ YÖNTEMLERİ…
Kuzey İrlanda'nın Belfast Queen's Üniversitesi'nde yapılan araştırmada, her zaman kullanılan o hapın hafif dozda bile alındığında dişlerin yenilenmesini ve çürüklerin tedavi edilmesini sağladığı ortaya çıktı.