HABER

Kapat

1 lira yüzünden ölüyordu! Hayata böyle döndü

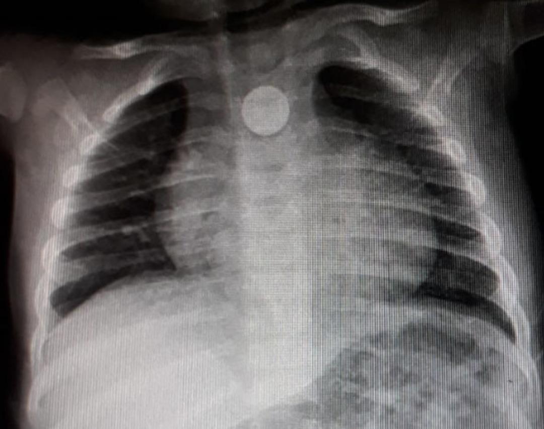
Bursa'da yerde bulduğu madeni parayı yutan 9 aylık bebek neredeyse ölüyordu. Bebeğin parayı yuttuğundan habersiz rutin hayatına devam eden Abir ve İbrahim Osman çifti, küçük Mustafa'nın bir anda nefessiz kalması üzerine ne yapacaklarını şaşırdı.

1 lira yüzünden ölüyordu! Hayata böyle döndü

Oyun oynarken yuttuğu para yüzünden ölümle burun buruna gelen 9 aylık bebeğin röntgen filmi çekilince yaşananların nedeni ortaya çıktı. İnegöl Devlet Hastanesi'ne ardından da Bursa Şevket Yılmaz Eğitim Araştırma Hastanesi'ne giden aile, bebeklerinin boğazına takılan para çıkarılınca rahat bir nefes alabildi.

Oyun oynarken ölümle burun buruna geldi

YORUMLARI GÖR ( 0 )

En Çok Aranan Haberler

Kapat