HABER

Kapat

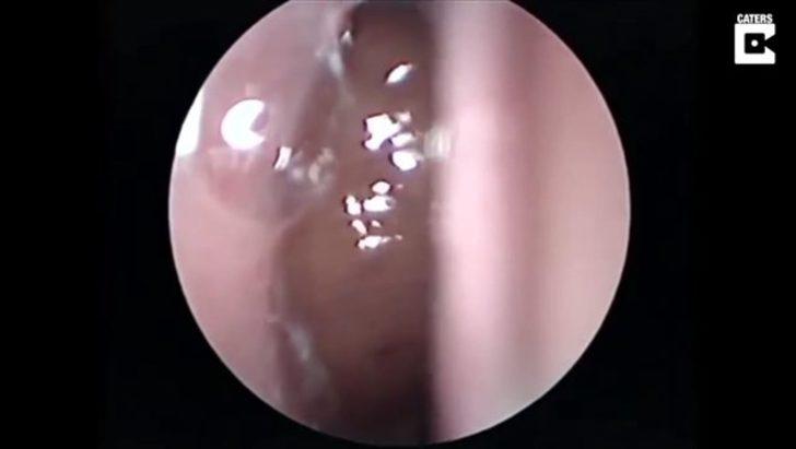
Burnundan çıkan şey şoke etti

Burnunda garip bir hareketlilik hisseden hasta doktora göründü.

Burnundan çıkan şey şoke etti

Doktor ise ufak bir operasyon yaptı.

Yüzerken burnuna kaçan şey doktorları bile şaşırttı

YORUMLARI GÖR ( 0 )

En Çok Aranan Haberler

Kapat