Tüm dünyayı etkisi altına alan koronavirüs COVİD-19 vaka sayısı 330 bini aşarken, virüs nedeniyle yaşamını yitirenlerin sayısı ise 14 bini geçti.
En fazla can kaybının yaşandığı İtalya'da son 24 saatte Kovid-19'dan ölenlerin sayısı 651 kişi artarak 5 bin 476’ya yükseldi. Vaka sayısı ise 59 bin 138 oldu. Ülkemizde de bugüne kadar 20 bin 345 test yapıldı, 1236 tanı kondu, hepsi yaşlı 30 hasta hayatını kaybetti.
Koronavirüsle mücadele eden her ülkede ise özellikle sağlık çalışanlarından aynı ses yükseliyor: Evde kal!

Yorucu mesailer, tıbbi malzeme eksikliği ve görülmemiş bir hastalık ile mücadele eden sağlık çalışanları yaşadıkları durumu göstererek insanları evde kalmalarına teşvik etmeye çalışıyor.
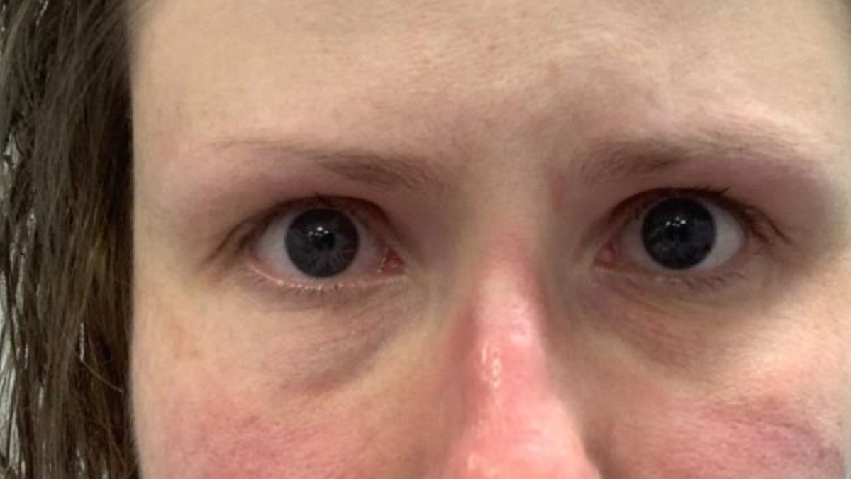
Londra'da çalışan bir doktor koronavirüsle savaşmanın korkunç gerçekliğini vurgulayan bir fotoğrafını Twitter’dan paylaştı.
This is the face of someone who just spent 9 hours in personal protective equipment moving critically ill Covid19 patients around London.
— Natalie Silvey (@silv24) March 21, 2020
I feel broken - and we are only at the start. I am begging people, please please do social distancing and self isolation #covid19 pic.twitter.com/hs0RQdvsn3
Binlerce kişiden retweet ve beğeni alan fotoğraf sayesinde birçok sağlık çalışanı da benzer kareler yayınladı.

Halkın sosyal mesafeyi korumalarını ve evde kalmalarını isteyen Dr Silvey, ‘sadece başlangıçtayız. Yüzümdeki kırmızı ve mor lekeler maskemden kaynaklı ancak izleri düşündüğünüzden daha derin. Bugün covid19'un ne yaptığını gördüm. Yalvarıyorum evinizde kalın sosyal mesafenizi koruyun’ dedi.