HABER

Kapat

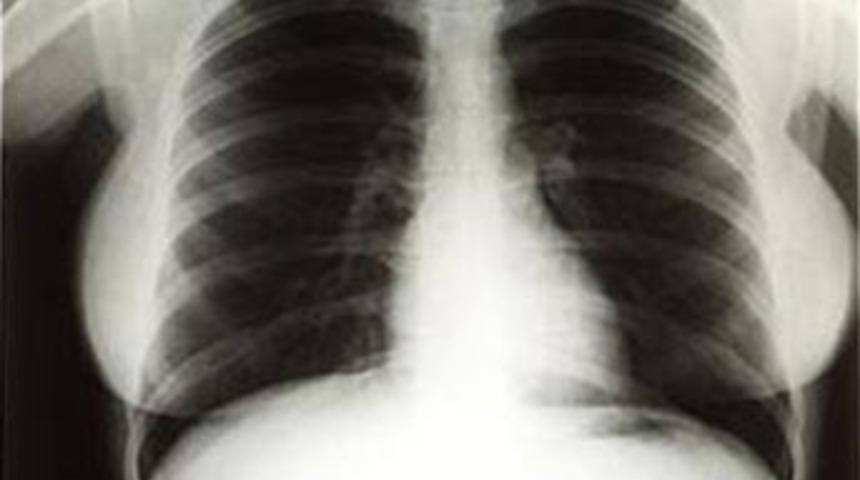
Röntgen filmi bile servet

Amerikalı efsane aktris yine farklı bir konuyla gündemde. Monroe'nın bir hastanede çekilen göğüs ve kalça kemiğini gösteren röntgenle filmleri rekor fiyata alıcı buldu, 45 bin dolara satıldı.

Röntgen filmi bile servet
Sinema tarihin en çok tartışılan ismi, efsane sarışın Marilyn Monroe ölümünden neredeyse yarım asır geçmesine rağmen yine de gündemde. Efsane aktrisi bu kez gündeme taşıyan bir hastanede çektirdiği röntgen filmleri.
Marilyn Monroe'nın 10 Kasım 1954'te Los Angeles'taki bir hastanede çekilen göğüs ve kalça kemiğini gösteren filmler, bir çok kişi için servet sayılabilecek alıcı buldu.
Monroe'ya 3 adet X-Ray filmi için, Las Vegas'taki Planet Hollywood Recort And Casino'da müzayede düzenlendi. 800 ile 1200 dolar arasında satılması beklenen filmler, beklenenin çok üstünde bir rakama 45 bin dolara alıcı buldu.
Satılan filmlerin ünlü yıldızın, hayatını çalkantılı olduğu bir döneme ait.
Marilyn Monroe, yaşantısı kadar ölümüyle de tartışma konusu oldu. Monroe, 36 yaşındayken, aşırı dozda uyku ilacı alması sonraıs hayatını kaybetti. Ancak şüpheli ölümü her zaman esrarını korudu.
CNN TÜRK
YORUMLARI GÖR ( 0 )

En Çok Aranan Haberler

Kapat