HABER

Kapat

15 santimlik çatalı yuttu, ameliyata alındı

Konya'da bir genç 15 santimlik çatalı yuttu. Çatal, ailesinin durumu fark etmesi üzerine hastaneye kaldırılan gencin midesinden bir operasyonla çıkarıldı.

15 santimlik çatalı yuttu, ameliyata alındı

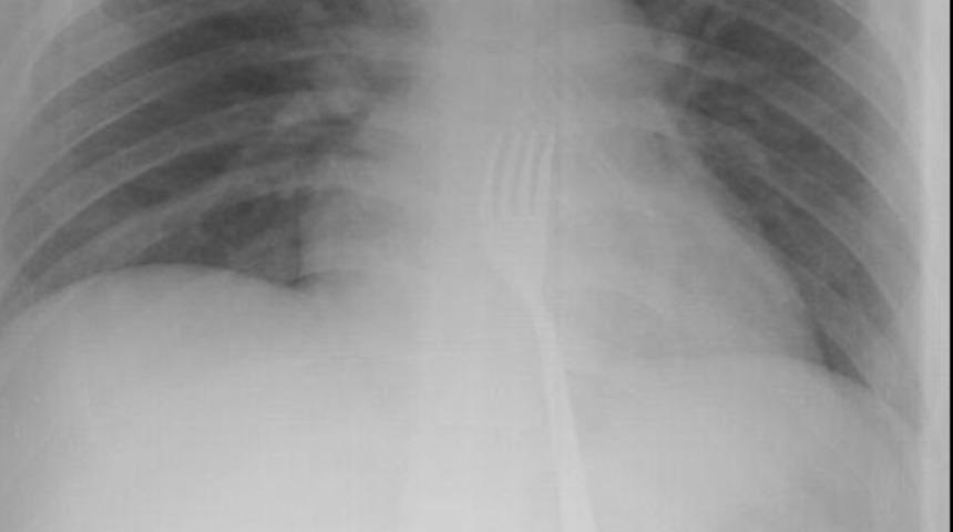
Konya'da bir gencin yuttuğu 15 santimetrelik metal çatal, midesinden ameliyatla çıkarıldı.

Konuyla ilgili açıklama yapan Necmettin Erbakan Üniversitesi Öğretim Üyesi Prof. Dr. Erikoğlu, "Çatal tersten yutulduğu için vücuda bir zararı olmamış. Bugüne kadar çatal yutmasıyla ilk kez karşılaştık" dedi.

Çeşitli sağlık problemleri olduğu belirtilen 20 yaşındaki O.A'nın çatal yuttuğunu fark eden ailesi, oğullarını Necmettin Erbakan Üniversitesi (NEÜ) Meram Tıp Fakültesi Hastanesine götürdü. Çekilen röntgen filmlerinde, çatalın midede olduğu görüldü. O.A'nın midesinden 15 santimetrelik metal çatal, başarılı operasyonla çıkarıldı. O.A, taburcu edildi.

"ÇATAL YUTMASIYLA İLK KEZ KARŞILAŞTIK"

Hastanenin Genel Cerrahi Anabilim Dalı Öğretim Üyesi Prof. Dr. Mehmet Erikoğlu, yaptığı açıklamada, O.A'nın acil servise başvurarak, çatal yuttuğunu söylediğini anlattı. Kontrollerde çatalın yemek borusunun sonuna kadar inip midede kaldığını gördüklerini aktaran Erikoğlu, büyük olması nedeniyle çatalı operasyonla mideden küçük kesiyle çıkardıklarını ifade etti. Küçük bazı yabancı cisimlerin mideden atılabildiğini anlatan Erikoğlu, "Yabancı cisim düz yutulmuş olsaydı, ciddi sıkıntılar doğabilirdi. Çatal tersten yutulduğu için vücuda bir zararı olmamış. Bugüne kadar çatal yutmasıyla ilk kez karşılaştık." diye konuştu. Erikoğlu, yabancı cisimlerin vücuda vereceği zararın büyük olabileceğini, ailelerin özellikle bu konularda dikkat etmesi gerektiği uyarısında bulundu.

AA

YORUMLARI GÖR ( 0 )

En Çok Aranan Haberler

Kapat