HABER

Kapat

Böbreküstü bezinden 11 santimetrelik kitle çıkarıldı! 1 gün sonra taburcu edildi

Böbreküstü bezinin üzerinde 11 santimetrelik kitle olduğu anlaşılan bir hasta, laparoskopik yöntemle ameliyat edildi. Sol böbreküstü bezinde bulunan kitlenin çıkarılmasının ardından 1 gün sonra taburcu edildi.

Böbreküstü bezinden 11 santimetrelik kitle çıkarıldı! 1 gün sonra taburcu edildi

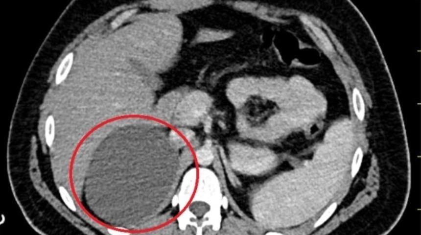
Eskişehir'de Üroloji Bölümü’ne bir erkek hasta böbreküstü bezindeki kitle nedeniyle başvurdu. Hastanın sol böbreküstü bezinde bulunan kitlesinin hormonal açıdan aktif olmadığı ve büyümekte olduğu tespit edildi. Kitlenin 11 santimetreye kadar ulaşması sonucu, kanser riski oluşturduğu için hastanın ameliyata alınmasına karar verildi. Üroloji Uzm. Dr. Aykut Aykaç ve Uzm. Dr. Coşkun Kaya tarafından laparoskopik yöntemle hastanın böbreküstü bezindeki kitle çıkarıldı. Eskişehir Şehir Hastanesi Üroloji Bölümü’nde ilk kez laparoskopik yöntemle gerçekleştirilen operasyonla hasta sağlığına kavuştu. Laparoskopik cerrahi ile deri üzerinden küçük bir kesi açılarak yapılan ameliyat sayesinde hasta 1 gün sonra taburcu edildi.

'HASTANEMİZDE İLK KEZ ALANIMIZDA BU AMELİYATI LAPAROSKOPİK YÖNTEMLE GERÇEKLEŞTİRDİK'

Bölgedeki hastanelerde laparoskopik cerrahinin yaygın olmadığını belirten Uzm. Dr. Aykut Aykaç, Eskişehir Şehir Hastanesi Üroloji Bölümü’nde ilk kez bu yöntemi başarılı şekilde kullanmaktan mutlu olduklarını dile getirdi. Laparoskopik yöntemle ameliyattan sonra hastanın kısa sürede iyileşebildiğinin altını çizen Aykaç şunları söyledi:

“Kliniğimize 18 yaşındaki erkek hasta, sağ böbreküstü bezinde kitle nedeniyle başvurdu. Kitlesi daha önceden takip altındaymış, bunun boyutu 11 santimetreye kadar büyümüş. Endokrinoloji Bölümü mevcut kitlenin hormonal olarak aktif olmadığını saptadı. Bu tarz kitlelerde hormonal olarak aktif olup olmaması önem arz ediyor. Genelde böbreküstü bezlerde kitle takibi sınırımız 4 santimetreye kadar. Kitlenin boyutu arttıkça da kanser çıkma ihtimali arttığı için cerrahi müdahale söz konusu oluyor. Laparoskopik cerrahinin avantajı küçük bir kesi açarak ameliyatı yapıyoruz. Yaranın iyileşmesi daha çabuk ve kan kaybı daha az oluyor. Hasta daha erken günlük yaşantısına dönüyor. Biz bu ameliyatı laparoskopik olarak gerçekleştirdik. Hastanın dreninden de kan gelmediği için de taburcu ettik. Hastanemizde ilk kez alanımızda bu ameliyatı laparoskopik yöntemle gerçekleştirdik.”

DHA

YORUMLARI GÖR ( 0 )

En Çok Aranan Haberler

Kapat