HABER

Kapat

Koronavirüsün akciğerlere verdiği zararı gösteren röntgen ve tomografi görüntüleri ortaya çıktı

İlk kez 12 Aralık'ta Çin'de tespit edilip 3 ayda pandemiye dönüşen yeni tip koronavirüsün, hastaların akciğerlerinde oluşturduğu hasarı, röntgen gibi radyolojik görüntülerde görmek mümkün.

Koronavirüsün akciğerlere verdiği zararı gösteren röntgen ve tomografi görüntüleri ortaya çıktı

Kuzey Amerika Radyoloji Derneği (RSNA), virüs ile ilgili yapılan araştırmalar kapsamında Covid-19 hastalarının akciğerlerinin tomografi ve röntgen görüntülerini yayınladı.

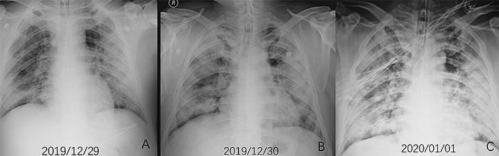
Euronews'te yer alan habere göre, koronavirüsün kaynağı olduğu düşünülen Vuhan kentindeki balık pazarında ulaşım görevlisi olan 44 yaşındaki bir erkeğin röntgen (X-ray) görüntülerindeki "opasifikasyon (buzlu cam görünümleri)" denilen beyaz lekeler, hastada oluşan zatürrenin boyutunu resmediyor.

Akut solunum sıkıntısı sendromu ve ileri derece zatürre teşhisi konulan hasta, 13 gün süren yüksek ateş ve öksürük şikayeti üzerine hastaneye başvurduktan bir hafta sonra hayatını kaybetti. Söz konusu hasta şüpheli Covid-19 vakası olarak tanımlanıyordu.

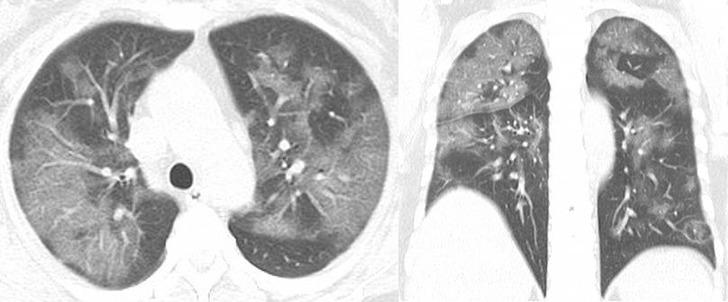
Radyologlar, tomografi görüntüleri sayesinde lezyonların dağılımının daha net anlaşılmasının, virüsü tanıma ve tedavisi için yapılan araştırmalarda önemli olduğunun altını çiziyor.

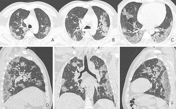
Covid-19'dan kaynaklı zatürre hastası 54 yaşındaki bir kadının transversal ve koronal bilgisayarlı tomografi (BT) görüntülerinde pulmoner lezyonların üst lobda daha yaygın olduğu görülüyor.

Vuhan kentinden döndükten sonra bir hafta boyunca ateşi 38.5 dereceden düşmeyen kadına, nefes darlığı, öksürük ve halsizlik semptomlarıyla hastane yattıktan sonra Covid-19 testi yapıldı. Test sonuçları pozitif çıkan hastaya zatürre teşhisi kondu. Uygulanan tedaviyle söz konusu hastanın semptomlarının hafiflediği rapor edildi.

Koronavirüsün akciğerlere verdiği zararı gösteren röntgen ve tomografi görüntüleri ortaya çıktı

YORUMLARI GÖR ( 0 )

En Çok Aranan Haberler

Kapat