HABER

Kapat

Mide ve bağırsaklarında 100 paket metamfetamin tespit edilen 2 kişi tutuklandı

Denizli'de mide ve bağırsaklarında 100 paket metamfetamin olduğu belirlenen İran uyruklu F.D.ve V.D. gözaltına alındı. Emniyetteki işlemleri sonrası adliyeye sevk edilen zanlılar tutuklandı.

Mide ve bağırsaklarında 100 paket metamfetamin tespit edilen 2 kişi tutuklandı

İl Emniyet Müdürlüğü Narkotik Suçlarla Mücadele Şube Müdürlüğü ekipleri, yabancı uyruklu bazı şüphelilerin 'yutma yöntemiyle' kente uyuşturucu getireceğini öğrendi.

İran uyruklu F.D.ve V.D. adlı zanlıları tespit ederek takibe alan ekipler, şüphelileri Denizli Otobüs Terminali'nde yakalayarak gözaltına aldı.

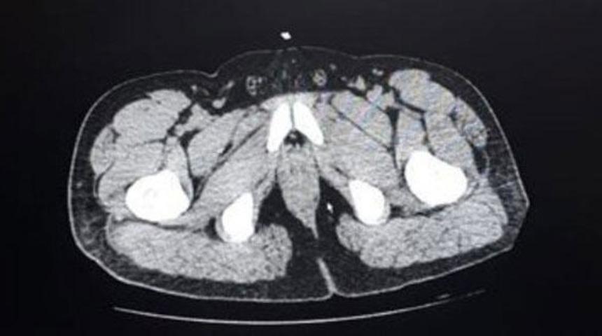
Denizli Devlet Hastanesi'ne götürülen zanlıların, uzman personel tarafından yapılan kontrollerinde, mide ve bağırsak kısımlarında yabancı madde olduğu tespit edildi.

Şüphelilerden F.D'nin 65 paket halinde 588 gram, V.D'nin ise 35 paket halinde 317 gram metamfetamini yuttuğu belirlendi. Polis kontrolünde doğal yollardan çıkarılan 100 paket halinde 905 gram metamfetamin maddesine el konuldu. Adliyeye sevk edilen 2 şüpheli, sevk edildiği adliyede tutuklandı.

(DHA)

YORUMLARI GÖR ( 0 )

En Çok Aranan Haberler

Kapat