HABER

Kapat

10 yıl boyunca vajinasında vibratör unuttu

10 yıl boyunca vajinasında vibratör unutan İskoçyalı kadın günün olayı oldu.

10 yıl boyunca vajinasında vibratör unuttu

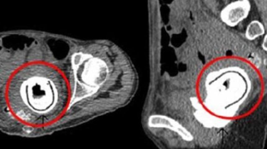
İskoçya’da 38 yaşındaki bir kadın idrara çıkarken ağrılar hissetmesi sonucu doktora başvurunca çekilen röntgeninde vajinasında unutulmuş bir vibratör bulundu. Herkesi şaşkınlığa uğratan vibratörün uzunluğunun 12 cm olduğu açıklandı.

İspanyol basınında yer alan haberde, doktorlar ilk defa böyle bir olayla karşılaştıklarını vurgulayarak 12 cm uzunluğundaki bir vibratörün 10 yıl boyunca son derece hassas bir bölge olan vajinada kalmasının imkansızlığına değindiler. İskoçyalı kadın ise yaptığı açıklamada en son 10 yıl önce çok sarhoş olduğu bir gece sevgilisi ile beraber olurken vibratör kullandığını söyleyerek “O gece neler oldu tam olarak hatırlayamıyorum, sanırım o zaman unuttum” dedi. Başarılı bir ameliyat sonrası vajinadan çıkartılan vibratörün özel olarak korunduğu ve çok yakında açık artırma sonrası satışa çıkartılabileceği belirtiliyor.

(DHA)

YORUMLARI GÖR ( 0 )

En Çok Aranan Haberler

Kapat