HABER

Kapat

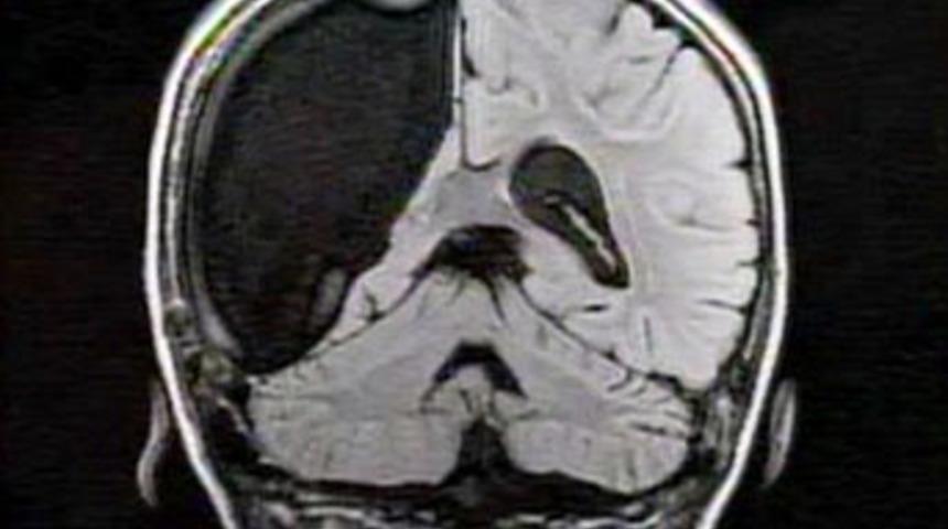
Beyninin yarısı yok

Dokuz yaşındaki Cameron Mott'un beyninin yarısı ameliyatla alındı.

Beyninin yarısı yok
Çok zor ve radikal bir ameliyatın ardından mucizevi bir şekilde iyileşen küçük kız doktorları ve ailesini şaşkına çevirdi.
Üç yaşında beyninin sağ tarafını 'yiyen' bir hastalık olan Rasmussen sendromuna yakalanan Cameron, sara nöbetleri geçirmeye başladı. Doktorlar sonunda ancak küçük kızın beyninin yarısının alımasıyla bu hastalığın önüne geçilebileceğini söyledi. Doktorlar, beynin sol tarafını yöneten sağ tarafını almanın ameliyattan çıktığında küçük kızın felç kalacağı anlamına geldiğini biliyordu. Ancak doktorlar çocukların beyinlerinin yeniden sinirlere bağlanma ve fonksiyonları üstlenme kapasitesine sahip olduğunu da biliyorlardı.
NBC'deki Today Şov'a konuk olan Cameron'ın annesi Shelly Mott, "Bu çok korkunçtu. Çünkü çocuğunuzun böylesine kritik bir ameliyatın ardından nasıl olacağını hayal edemiyorsunuz. Aynı çocuk olamayacakmış gibi geliyor. Ama kesinlikle doğru kararı verdik. Ona yardım etmek için tek seçeneğin bu olduğunu biliyorduk" diye konuştu.
Ameliyatın ardından mucizevi ve hızlı bir şekilde iyileşmeye başlayan Cameron, geçenlerde fizyoterapisini de bitirdi. Periferik görüşünün bir kısmını kaybetse de şimdi koşup oynayabiliyor ve büyüyünce balerin olmak istediğini söylüyor.
YORUMLARI GÖR ( 0 )

En Çok Aranan Haberler

Kapat