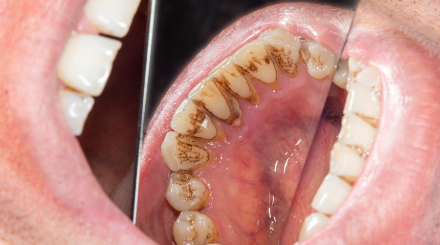
Dişlerde meydana gelen istenmeyen görünümler sadece estetik açıdan değil sağlık açısından da problem yaratıyor. Dişlere, diş etleri veya protezlere tutunan yapışkan ve yumuşak bakteri tabakalarına diş plağı deniyor. Bu plaklar tükürükte bulunan mineraller ile birleşerek sertleşir ve tartar denilen tabakayı meydana getiriyor. Tartar, dişlerde gıda kalıntısı birikmesi, bakteriler, genetik, dip fırçalama yapılmaması gibi nedenlerden dolayı oluşabiliyor.

Diş tartarlarını temizlemenin kolay yolları aranıyor. Diş tartarının temizlenmesi için yüksek paralar harcanmasına gerek kalmıyor. Her evde yapılan basit doğal yöntemle diş tartarını temizlemek oldukça kolay.

Küçük bir domates ve çileği blenderdan geçirip hamur yapın. Bu karışımı dişlerinize sürün ve 5 dakika bekleyin. Daha sonra ağzınızı durulayın. Çilek ve domates, ağızdaki bakterileri öldürecek ve tartarı yok edecektir. Bu işlemi haftada 2 kez uygulayabilirsiniz.

Bazı hindistancevizi yağı sıvılaşıncaya kadar eritin ve bakterileri ağzından çıkarmak için bir gargara olarak kullanın.

Kabuğu doğrudan dişlerinize sürtün ve birkaç dakika gibi bırakın. Ardından su ile durulayın. Kabuklar ağzındaki mikroorganizmaları öldürecektir. Veya birkaç portakalı kabuğunu soyup blenderdan geçirin ve macun yapın. Bu macunu 1-2 dakika dişlerde bekletip durulayın. Bu yöntem sararmış dişleri beyazlatmak için de kullanılabilir.

Limon suyu asidik içeriğinden dolayı, plak ve tartarın çözülmesine yardım eder. Suyu biraz sıkılmış limon ve nane yağı karıştırın ve karışımı ağzınızı iyice durulamak için kullanın.