Halk arasında tamamı "kireçlenme" olarak isimlendirilen eklem hastalıkları, bu ismin ilk anda çağrıştırdığı gibi bir şeylerin birikmesinden, artmasından ya da kalınlaşmasından değil, tam tersi eksilmesinden ve bozulmasından kaynaklanır.

Çevremizde çok duyduğumuz "diz sıvısı azalması" veya "dize vurulan iğne" gibi ifadelerin ne anlama geldiğini kavrayabilmek için diz özelinde eklemin nasıl bir yapısı olduğunu bilmemiz gerekir.
İki kemiğin birleştiği yerdeki mekanizmaya, eklem denir. Eklem de bir kemiktir ama diğer kemiklerden farklı olarak uç kısımları, kıkırdak adı verilen yumuşak dokuyla kaplıdır. Sağlıklı bir eklem kıkırdağı, parlak renkli ve kaygandır. Bu kayganlık, eklemi saran sinovyal zarın salgıladığı sıvı ile sağlanır. Diz eklemini saran sinovyal zar, vücuttaki diğer sinovyal zarların en büyüğü ve en kompleks olanıdır. Bu zar tarafından salgılanan sinovyal sıvı, kemiklerin eklem üzerinde, birbirlerini aşındırmadan hareket etmelerini sağlar.
Sinovyal sıvıya kayganlık veren temel madde ise, vücudun tüm bağ dokularında bulunan hyalüronik asittir. Çok yüksek miktarda su tutma özelliğine sahip olan hyalüronik asit molekülleri tek başlarına ya da başka moleküllere bağlanarak, sinovyal sıvının kıvamını koyulaştırır ve kıkırdağı sağlamlaştırır. Sağlıklı insanlarda çok büyük olan hyalüronik asit molekülü, diz ekleminde kireçlenme olan hastalarda küçülür. Bu yüzden eklem sıvısının kıvamı incelir ve sürtünme artar. Bu tanımdan da anlaşılacağı gibi aslında diz ekleminde azalan ya da biten şey eklem sıvısı değil, sıvının kalitesidir.
Kireçlenme (osteoartrit, artroz, gonatroz, dejeneratif artrit, dejeneratif eklem hastalığı), eklemlerin yüzeyini kaplayan kıkırdak dokunun aşınmasıdır. Bütün eklemlerde görülebilir ama diz ve kalça gibi en hareketli eklemlerde daha çok görülür. Yaşlanmayla birlikte eklem sıvısının seyrelmesi, çarpmalar, hareketsizlik, aynı eklemin çok sık tekrarlayan hareketleri, vücudun başka yerlerindeki enfeksiyon hastalıkları, eklemleri saran kıkırdak dokunun aşınmasına sebep olur. Önlem alınmaz, gereken tedaviler uygulanmaz ve aşınmanın önüne geçilmezse, hareketleri tamamen kısıtlayan daha ciddi durumlar ortaya çıkabilir.
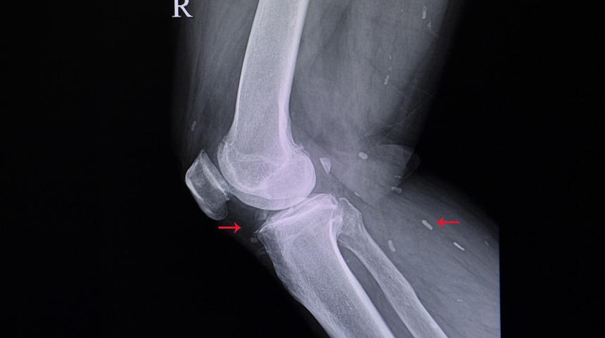
Kıkırdağın aşınmasıyla eklem ile kemik arasındaki mesafe giderek azalır ve sürtünmenin etkisiyle kemik başlarında ve eklemde deformasyon başlar. Bazen bu sürtünmenin etkisiyle bazen de çarpmaların etkisiyle, kıkırdak ya da kemiklerden küçük parçacıkların kopabilir. Eklem sıvısı içinde serbestçe dolaşan bu parçacıklar (eklem faresi) eklem yüzeyi ile temas ettiğinde ağrı, şişlik, kızarıklık gibi şikayetlere sebep olur.
Kireçlenme ölümcül bir hastalık değildir ama yaşam kalitesini olumsuz etkileyen, sosyal hayattan uzaklaştıran ve zaman zaman kendini işe yaramaz hissettiren bir hastalıktır.

Dizde kıkırdak aşınması:Vücudun yaşlanmasıyla gelişen doğal bir süreçtir. Eklem sıvısı 30 yaşından itibaren, olması gereken jelimsi, kaygan kıvamını kaybetmeye başlar. Bu da, kemikleri birbirine bağlayan eklemlerdeki sürtünmeyi artırır ve doğal olarak kıkırdak dokuda aşınmaya sebep olur.
Bacakta kireçlenme: Diz eklemleri dışında kalça, ayak bileği ve ayak parmaklarında da görülebilir.
Dizlerde kireçlenme birincil (primer) olarak yaş ve genetik faktörlere bağlıdır. Bazı insanların kıkırdak dokusu, ailevi yatkınlık sebebiyle daha dayanıksızdır. Bu hastalarda, kireçlenmenin nedenini açıklayacak başka hiçbir bulguya rastlanmaz.
Hastaların çoğunda ise kireçlenme, başka bir durum ya da hastalık sebebiyle gelişir. Bu durumda ikincil (sekonder) osteoartritten söz edilir. Bu sebepler;

Kireçlenme sinsice ilerleyen bir hastalık olmakla birlikte erken
evrelerde de mutlaka sinyallerini verir. Bu sebeple eklemlerde az da
olsa hissedilen değişiklikler dikkate alınmalıdır. Kireçlenmenin
başlıca belirtileri;
İlk kez ağrı şikayeti ile dikkat çekse de kireçlenme muhtemelen bundan çok daha önce başlamıştır. Kireçlenme, laboratuvar testleri ile görüntülü tetkik verilerine ve hastanın şikayetlerine göre 4 evrede değerlendirilir ve tedavi de bu evrelere göre planlanır.
1. Evre: Sadece hareket halinde ortaya çıkan ağrı, dinlenmeyle geçer. Kıkırdak doku yumuşamıştır ama kayıp yoktur. Bu evrede sadece kilo vermekle bile hastanın şikayetleri ortadan kalkabilir.
2. Evre: Ağrılar daha sık ve şiddetli olmaya başlar. Ağrı kesicilere cevap verme süresi uzamıştır. Günlük aktivitelerde yapılan küçük değişikliklerle şikayetlerin önüne geçilebilir.
3. Evre: Kıkırdak kaybı artmış, eklem arası boşluk %50’nin üzerinde daralmıştır. Buna bağlı olarak bacaklar dışa doğru (parantez bacak) eğilmeye başlar. Ağrı dinlenmeyle geçmez hale gelir. Diz çökmek ve yeniden doğrulmak neredeyse imkansız hale gelmiştir.
4. Evre: Eklem üzerinde kıkırdağın tamamen kaybolduğu alanlar görülür. Ağrı sadece hareketle değil dokunmayla bile başlayabilir. Hasta sık sık uykusundan ağrıyla uyanır ve dizine yorganın değmesine bile tahammül edemez. Eklem aralığı neredeyse kalmamıştır. Tahribat sadece eklemde değil kemiklerde de rahatlıkla görülür.
Tedavinin amacı ağrının giderilmesi ve eklemin olabildiğince korunmasına yöneliktir. Bu yüzden erken evrede teşhis edilmesi önem taşır.
Ağızdan alınan ve sürülerek kullanılan aneljezik (ağrı kesici) ilaçlar hastalığın erken evrelerinde ilk seçenek olarak değerlendirilir. Ağrıya şişliğin de eşlik ettiği durumlarda antienflamatuar (iltihap giderici) ilaçlar da reçeteye eklenebilir. İltihap tedavisinde ilaçlara ek olarak uygulanan BUZ TEDAVISI de fayda sağlar. Fakat unutmamak gerekir ki, ağrıyı ortadan kaldıran bu ilaçlar, kireçlenmeyi ya da sıvı kaybını ortadan kaldırmaz. Bu ilaçlarla birlikte mutlaka eklemleri koruyucu tedbirlerin de alınması gerekir. Ağrı hissetmediği için hayatına aynı şekilde devam eden kişilerde kıkırdak kaybı artarak devam eder.
Hastaların çoğu ağrıdan çekinerek daha az hareket etmeye başlar. Özellikle yaşlılarda görülen bu hareketsizlik, başta kilo artışı olmak üzere başka riskleri de beraberinde getirir. Hareket ettirilmeyen diz kasları esnekliğini kaybeder ve tıpkı eski bir paket lastiği gibi en ufak bir temasla kopar.
Hangi yaşta olursanız olun eğer kireçlenme teşhisi aldıysanız yapmanız gereken şey, ilaçlarla ağrıyı kontrol altına aldıktan sonra DIZ KAPAĞI AĞRISI EGZERSIZLERI ile hastalığın ilerlemesini durdurmak olmalıdır. Yaşınıza ve ihtiyaçlarınıza göre hangi hareketleri yapmanız, hangilerinden kaçınmanız gerektiğini mutlaka konunun uzmanı olan bir doktordan öğrenmelisiniz. Sosyal medyada ya da televizyonda gördüğünüz her hareket sizin için uygun olmayabilir.
Kısaca FTR olarak isimlendirilen Fiziksel Tıp ve Rehabilitasyon uygulamaları, konunun uzmanı olan doktorlar tarafından her hasta için özel olarak planlanır. Masaj, soğuk-sıcak uygulamalar, su içinde yapılan egzersizler, kasların elektrik enerjisi kullanılarak uyarılması gibi çeşitli tedavi yöntemlerinden hangilerinin kullanılacağına karar verilir. Aynı zamanda hastanın yapması gereken egzersizler de öğretilir ve bunları tekrar etmesi istenir.
Kireçlenme ve dizdeki sıvı kaybı, egzersizleri yaptığı ve ilaçlarını düzenli kullandığı halde kontrol altına alınamayan hastalara, yılda 3 defayı geçmemek üzere eklem içi (intraartiküler) enjeksiyon yapılabilir. Enjeksiyon 2 amaçla; eklemde artmış olan sıvıyı boşaltmak ya da ekleme sıvı takviyesi yapmak için de uygulanabilir. Halk arasında AMELIYATSIZ DIZ SIVI KAYBI TEDAVISI olarak bilinen enjeksiyon uygulaması, özellikle genç hastalarda cerrahi müdahaleyi mümkün olduğunca ötelemek için sıkça tercih edilen bir yöntemdir.
PRP, yöntem olarak bir tür eklem içi enjeksiyonu olsa da, ekleme enjekte edilen sıvının ilaç değil, hastanın kendi kanı olması onu diğer eklem enjeksiyonlarından ayırır. Adını "Platelet Rich Plasma" (trombositten zenginleştirilmiş kan sıvısı) sözcüklerinin baş harflerinden alan PRP tedavisinde, kanın pıhtılaşmasını sağlayarak kanamayı durduran ve yaraların iyileşmesini hızlandıran trombosit hücreleri kullanılır.
Diz sıvısı iğnesi fiyatları, uygulamanın türüne ve yapıldığı sağlık kuruluşlarına göre farklılık gösterebilir.
Cerrahi yöntemler kireçlenme tedavisinde en son seçenek olarak değerlendirilir. Hastanın durumuna ve kireçlenmenin evresine göre açık ya da kapalı (atroskopi) ameliyat yöntemlerinden uygun olanı seçilir. Eklem faresi ya da kas yırtılması atroskopik yöntemle tedavi edilebilir. Fakat 4. evre kireçlenme vakalarında büyük miktarda kıkırdak kaybı olduğundan, açık ameliyat tercih edilir.