HABER

Kapat

'Duşta kayıp üzerine düştüm' dedi! Gerçek ortaya çıkınca doktor bile inanmak istemedi

Hindistan'da bir adam, yaşadığı ilginç kazanın ardından doktorlara başvurdu ancak hastanın anlattığı hikayeye ne doktor ne de yakınları inanamadı.

'Duşta kayıp üzerine düştüm' dedi! Gerçek ortaya çıkınca doktor bile inanmak istemedi

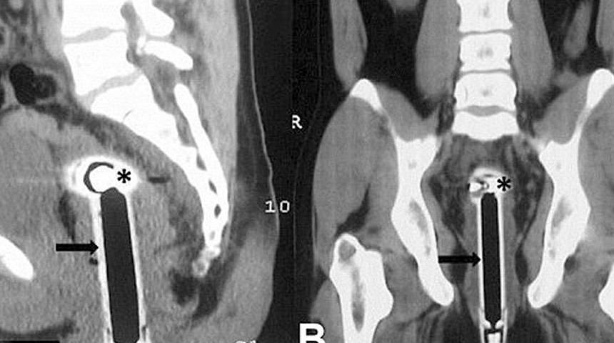
Hindistan’da 26 yaşında ismi açıklanmayan bir adam, banyoda kayarak duş başlığının üzerine düştüğünü söyleyerek hastaneye gitti.

Doktorların yaptığı incelemeler sonucunda, duş başlığının adamın rektumundan 15 santimetre kadar içeri girdiği tespit edildi.

Başarılı bir operasyon geçirdiği açıklanan adamın sağlık durumunun iyi olduğu ifade edildi.

Konuyla ilgili açıklamalarda bulunan doktorlar, adamın hikayesinin inandırıcı gelmediği ve ‘muhtemelen’ yaşanan olayın ‘kaza olmadığı’ yönünde görüş belirtti.

YORUMLARI GÖR ( 0 )

En Çok Aranan Haberler

Kapat