HABER

Kapat

Gaucher hastalığı nedir? Gaucher hastalığı nasıl teşhis edilir? Gaucher hastalığı neden olur?Gaucher hastalığı tedavisi nasıldır?

Az kişide görüldüğü için bilinmeyen gaucher hastalığı nedir? Bilinmediği için teşhisi dahi 4 ile 10 yıl alan gaucher hastalığı tedavisi büyük önem taşımaktadır. Gaucher hastalığı tedavisi gerçekleştirilmezse dokularda hasara yol açar ve hızla ilerleyerek bedeni ele geçirir. Bu sebeple gaucher hastalığının teşhis ve tedavi süreci önem taşımaktadır. Sebebi glukoserebrozidaz enzim eksikliği veya enzimin görevini yerine getirememesi olarak açıklanan gaucher hastalığı ile ilgili bilinmesi gerekenler.

Gaucher hastalığı nedir? Gaucher hastalığı nasıl teşhis edilir? Gaucher hastalığı neden olur?Gaucher hastalığı tedavisi nasıldır?

Dünya genelinde her 40.000 ila 100.000 kişide bir görülen nadir, uzun süreli ve hayatı tehdit eden bir hastalık olan Gaucher hastalığının yeterince bilinmemesi nedeniyle, hastaları doğru teşhis alana kadar zorlu bir süreç bekliyor ve ilk belirtilerden doğru tanıya kadar ortalama 4 ila 10 yıl geçiyor. Bazıları ise yanlış tanı veya bilgi eksikliği nedeniyle gereksiz tıbbi girişimlere maruz kalıyor. Bu toplumsal gereksinimden yola çıkan Çocuk Beslenme ve Metabolizma Derneği, Gaucher Hastalığı Farkındalık Ayı kapsamında uluslararası bir Gaucher Sempozyumu düzenledi. Dünyanın farklı noktalarında Gaucher hastalığı konusunda çalışan hekimleri bir araya getiren ve 30'dan fazla sunumun yapıldığı sempozyumda bu hastalık hakkındaki farkındalık seviyesinin artırılması ve konu hakkındaki en güncel bilgilerin tartışılması amaçlandı.

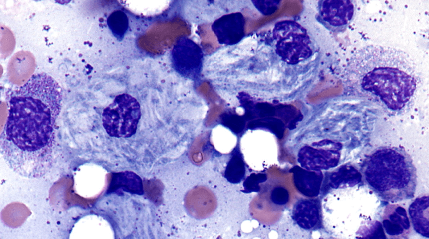
Gaucher (“goşe” şeklinde okunur) hastalığı kalıcı, ilerleyici ve kalıtsal bir hastalıktır. Hastalığın sebebi, glukoserebrozidaz isimli enzimin eksikliği veya görevini yerine getirememesidir. Bu enzimin eksikliği sonucunda, vücudumuzun makrofaj denilen hücrelerinde glukoserebrozid maddesi birikimi olur. Bu hücrelerin organları, dokuları ve kemiği istila etmesi, sistemlerin işlevlerinde aksamalara yol açar. Hastalık, yaşamın herhangi bir döneminde ortaya çıkan hafif ya da şiddetli belirti ve bulgularla kendini gösterir.

GAUCHER HÜCRELERİ VÜCUTTA BİRİKEREK DOKULARDA HASARA YOL AÇIYOR

Gaucher Sempozyumu'nda söz alan Çocuk Beslenme ve Metabolizma Derneği Yönetim Kurulu Başkanı ve Gaucher Sempozyumu Başkanı Prof. Dr. Turgay Coskun, Gaucher hastalığının klinik bulguları hakkında şu bilgileri verdi: “Gaucher hastalığının belirtileri, Gaucher hücrelerinin vücutta birikerek artmasına bağlı olarak ortaya çıkmaktadır. Gaucher hücreleri genellikle dalak, karaciğer ve kemik iliğinde birikir. Ancak lenf sistemi, akciğerler, deri, göz, böbrekler, kalp ve düşük oranda merkezi sinir sistemi gibi diğer dokularda da birikebilir. Belirtiler herhangi bir yaşta ortaya çıkabileceği gibi, genellikle ilk olarak çocukluk ya da yetişkinlik döneminde fark edilir.”

GAUCHER HASTALIĞI ZAMANINDA TEŞHİS VE TEDAVİ EDİLMEZSE İLERLEYEBİLİR

Prof. Dr. Turgay Coşkun hastalığın belirtileri hakkında şunları söyledi: “Hastalığın farklı üç tipi mevcuttur, erken yaşlarda başlayan ve ilerleyen yaşlara kadar değişen bulgular gözlemlenebilir. Belirtilerin çeşidi ve şiddeti, bireylere göre değişkenlik gösterebilir. Bazı bireylerde yaşlılık dönemine kadar herhangi bir belirti ortaya çıkmaz, bazılarında ise çocukluk döneminden itibaren hayati tehlike oluşturabilecek bulgular gelişebilir. Gaucher Hastalığı, kalıcı ve ilerleyen bir hastalık olup erken tanı konup tedavi edilmediği takdirde zamanla kötüleşebilir. Belirtiler başka hastalıklarla benzerlik gösterebildiğinden, doğru teşhis konması ayları, hatta yılları bulabilir. Örneğin; eklem ağrısı veya üst bacaklarda görülen kemik ağrısı, büyüme ve gelişme ağrısı sanılabilir. Kırmızı kan hücrelerindeki ve pıhtılaşmadan sorumlu kan küreciklerinin sayısındaki düşüş, ilk olarak kan hastalığı şeklinde tanımlanabilir veya lösemi, lenfomayı çağrıştırabilir. Belirtilerin zararsız görünmesinden dolayı hastalar ve hekimler uzunca bir süre ilerleyen hastalıktan şüphelenmeyebilirler. Kesin tanı için kandaki glukoserebrozidaz enziminin aktivitesi test edilmelidir.” Prof. Dr. Turgay Coşkun hastalığın belirtilerini şöyle özetledi:

Kanamalar ve morarmalar

Kansızlık (anemi)

Çabuk kırılan zayıf kemikler (osteoporoz)

Kemik ve eklem ağrıları

Dalak ve karaciğerde büyüme sonucunda karında şişlik

Kanın pıhtılaşma hücrelerinde azalma (trombositopeni)

GAUCHER HASTALIĞININ SIKLIĞI AKRABA EVLİLİĞİ OLAN TOPLUMLARDA DAHA YÜKSEK

Sempozyumdaki konuşmacılardan biri olan Prof. Dr. Gülden Gökçay hastalık hakkında şu bilgileri verdi: “Gaucher hastalığının görülme sıklığı, akraba evliliği olan toplumlarda daha yüksek seyrediyor. Bu nedenle, akraba evliliği oranlarının hala %22-25 dolaylarında seyrettiği ülkemizde, Gaucher prevelansının daha yüksek olabileceği tahmin ediliyor. Özellikle büyümede gecikme, genel zayıflık, nedeni belirlenemeyen dalak veya karaciğer büyümesi, kansızlık, kemik ağrısı veya minör travma ile gelişen kırıklar gibi belirtiler saptanan kişiye Gaucher testi yapılmalıdır. Kalıtsal bir hastalık olmasından dolayı, ailede Gaucher hastalığı geçmişinin bilinmesi, tanının hekim tarafından düşünülebilmesi için önemli bir ipucudur. Gaucher hastalığı bulunan kişilerin tüm yakın akrabaları, hastalığı bulundurma veya potansiyel Gaucher hastalığı tanısı konmuş kişilerin yakın akrabaları da, hastalıkla ilgili durumlarının değerlendirilmesi için konunun uzmanı bir hekimin görüşüne başvurmalıdır. Eğer anne ve babanın ikisi de taşıyıcı ise, çocuğun Gaucher hastalığından etkilenme olasılığı her gebelikte 4'te 1 oranındadır. Genetik testi ve enzim analizini de kapsayan doğum öncesi tanı, çoğu durumda Gaucher hastalığının gebelikteki varlığını belirlemede yardımcı olur. Anne ve babadan birisinin taşıyıcı, diğerinin ise sağlıklı olduğu durumlarda, çocuğun taşıyıcı olma olasılığı %50'dir. Anne ve babadan ikisinin de taşıyıcı olması durumunda, çocuklar %50 olasılıkla taşıyıcı, %25 olasılıkla hasta veya %25 olasılıkla sağlıklı olacaktır.

GAUCHER TEDAVİSİNDE RUTİN MUAYENELER VE TEDAVİLER AKSATILMAMALI

Sempozyumun konuşmacılarından Prof. Dr. H. Neslihan Önenli Mungan, Gaucher hastalığının tedavisi konusunda önemli bilgiler verdi: “Bu hastalığın tedavisinde enzim yerine koyma ve madde eksiltme olmak üzere iki yöntem uygulanmaktadır. Enzim ve yerine koyma tedavisi ile büyük bir ilerleme sağlanmıştır. Bu tedavinin esası, vücudun üretemediği enzimin dışarıdan verilmesidir. Bu tedavi sonucunda kansızlıkta, trombosit azlığında, dalak, karaciğer ve kemik semptomlarında belirgin iyileşmeler sağlanabilmektedir. Gaucher hastalığının tedavisinden mümkün olan en yüksek faydayı sağlamak ve hastalığın ilerlemesini önlemek için damar yoluyla uygulanan enzim yerine koyma tedavisinin atlanmaması ve düzenli olarak sorumlu hekimin belirlediği aralıklarla alınması gerekmektedir. Madde eksiltme tedavisi dediğimiz yöntemde ise, enzimin işleyeceği madde miktarının azaltılması hedeflenir. Bu yöntem genelde enzim tedavisinin uygun olmadığı hastalarda önerilmektedir. Enzim tedavisinin erken başlanması birçok destek tedavisi gereksinimini ortadan kaldırmıştır. Hastaların kendi kişisel bakımı konusunda söz sahibi olması için, tedaviye geldiklerinde tüm şikayetlerini bildirmeleri önemlidir. Bu şikayetlerle ne sıklıkla ve hangi şiddetle karşılaştıklarını da eklemeyi unutmamalılar. Ayrıca rutin muayeneler, hastaların hastalık ya da güncel veya gelecek tedaviler konusundaki sorularına cevap alabileceği en uygun anlardır. Hastaların bir günlüğe belirtilerini yazmaları, bu muayenelerden verimli sonuçlar elde etmeleri için çok faydalı olabilir.”

YORUMLARI GÖR ( 0 )

En Çok Aranan Haberler

Kapat