HABER

Kapat

Kemiğin paget hastalığı nedir? Kemiğin paget hastalığı belirtisi nelerdir? Kemiğin paget hastalığı tedavisi nasıl gerçekleşir

Kemiğin paget hastalığı yani biçim bozucu kemik iltihabı çoğu kişinin bilmediği bir hastalıktır. Kemiğin paget hastalığında iltihaplanan kemiğin biçimi bozulur. Peki dışarıdan anlaşılmayan kemiğin paget hastalığının görülmesi için ne yapmak gerekir? Kemiğin paget hastalığı belirtileri nelerdir? İşte kemiğin paget hastalığı ile ilgili bilinmesi gerekenler...

Kemiğin paget hastalığı nedir? Kemiğin paget hastalığı belirtisi nelerdir? Kemiğin paget hastalığı tedavisi nasıl gerçekleşir

Birçok insanın yaşadığı, mikrobik olmayan “Biçim bozucu kemik iltihabı” anlamına gelen, Kemiğin Paget hastalığı hakkında merak edilenleri Ortopedi ve Travmatoloji Uzmanı Op. Dr. Enis Yıldırım detayları ile açıkladı.

Op. Dr. Enis Yıldırım, “Paget hastalığı bir diğer adıyla biçim bozucu kemik iltihabı, kemiklerin kronik bölgesel hastalığıdır. İleri yaş grubunda kemik erimesinden sonra en çok görülen hastalık olması nedeniyle önem arz eder” diyerek hastalığın belirtilerinin neler olabileceğini ifade etti.

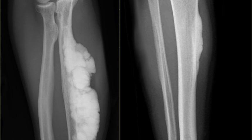
RÖNTGEN TESTLERİ İLE ORTAYA ÇIKIYOR

Yıldırım, “Bu hastalığın gözle görülür bir belirtisi yoktur. Hastalarda genellikle 40 yaşından sonra yapılan sağlık taramaları ve röntgen testleri ile birlikte ortaya çıkabilir ve en sık rastlanan belirtisi kemik ağrısıdır. Yapı olarak bozuk iskelet dokusu gelişir ve bu da kırık riskinde artışla birlikte kemikte şekil bozukluğuna neden olur.

İskelette her bölgede tutulum olabilme ihtimaliyle birlikte; leğen kemiği, omurga, kafatası ve ağırlık taşıyan kemikler daha sık etkilenir. Kafatasının tutulması, baş ağrısı, duyma kaybı, çınlama veya baş dönmesine neden olabilir.” dedi.

İNGİLTERE, FRANSA VE ALMANYA'DA SIK YAŞANIYOR

Op. Dr. Enis Yıldırım, “Paget hastalığının yaşanma oranı coğrafi bölgelere göre değişiklik göstermektedir. Ülkeden bölgeye mühim farklılıklar ortaya çıkabilmektedir.

Bu hastalık İngiltere, Fransa ve Almanya toplumunda, İskandinav ülkelerine göre daha yaygın yaşanmaktadır. Japonya, Hindistan, Afrika ve Orta Doğu ülkelerinde paget hastalığı çok daha az görülmektedir. ABD’nin güney ve kuzey kesimleri arasında hastalığın görülme oranı açısından farklılıkların mevcut olduğunu bilmekteyiz. Bölgede siyahiler ile beyazlar hastalığa eşit oranda yakalanmaktadırlar.” dedi.

GENETİK FAKTÖRLERE BAĞLI GELİŞEBİLİR

Op. Dr. Enis Yıldırım bu hastalığın nedenleri ile ilgili, “Paget hastalığının kesin olarak nedeni bilinmemektedir. Hastalarda ilerleyen yaşlarda, kemik yoğunluğunda ve gelişiminde azalma yaşanmaktadır. Nedeni kesin olarak bilinmeyen paget hastalığında, kemik dokunun hasar görmesiyle yeniden kemik yapımı başlar. Yeni oluşan bu kemik dokunun yapısının biçimsiz ve kırılgan olması hastalığın oluşumuna sebep olabilir. Bazı klinik çalışmalarında hastalığın virüs kaynaklı olduğu gözlemlenmiştir. Fakat bu hastalığın çevresel ve genetik faktörlere bağlı olarak da gelişebileceği düşünülüyor. Ayrıca bağışıklık sistemi güçsüz olan kişilerin de yakalandığı bilinmektedir.” yorumunda bulundu.

TEDAVİDE KALSİYUM TAKVİYESİ ŞART!

Paget hastalığının tedavisi ile ilgili önerilerde bulunan Yıldırım, “Tedavide temel araç ilaçlardır ve genellikle yaklaşık 1 yıl devam eder. Hastalar her 4-6 ayda bir serum ALP seviyesi ile izlemelidir ve ALP seviyesi daha önceki değerin %25'inin üzerine çıkarsa tedaviye tekrar başlanmalıdır.

Ciddi iskelet komplikasyonlarının gelişmesi durumunda ortopedik girişim yapılması gerekebilir. Kullanılan bazı ilaçların vücuttaki kalsiyum oranını düşürmesi nedeniyle kalsiyum takviyesinde bulunulması paget hastalığına iyi gelmektedir. Bir diğer tedavi yöntemi ise fizik tedavidir. Yürüme destekleri, omurga korseleri ve kas gücünü artıracak egzersizler gibi fizyoteratipiler ile tedavi edilebilir.

YORUMLARI GÖR ( 0 )

En Çok Aranan Haberler

Kapat