HABER

Kapat

Koronavirüsün korkunç etkisi ortaya çıktı!

ABD'li bilim insanları koronavirüsün ciğerlere bıraktığı hasarı gözler önüne serdi. Sağlıklı, sigara içen ve Covid-19 hastası üç kişinin röntgen sonuçlarını yan yana sıralayan uzmanlar, "Covid-19'un yarattığı hasar çok yüksek seviyede" dedi.

Koronavirüsün korkunç etkisi ortaya çıktı!

Dünya çapında milyonlarca insana bulaşan ve bilim dünyası tarafından vücutta yarattığı tahribat tam olarak anlaşılmayan koronavirüs ile ilgili çarpıcı bir açıklama ABD’nin Teksas eyaletinden geldi.

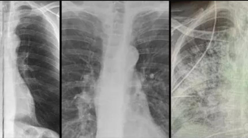
Teksas’taki Teksas Teknoloji Üniversitesi Sağlık Bilimleri Merkezi’nde doçent doktor olarak çalışan Britatany Bankhead-Kendall, koronavirüs geçirmiş hastalarının akciğer filmini sigara içen bir hastası ve sağlıklı bir bireyinkiyle kıyasladı.

Bilim insanının paylaştığı röntgen sonuçları dikkat çekti. Soldaki görselde sigara içen bir bireyin akciğer filmi görülürken sağda ise koronavirüsü yenmiş bir bireyinki yer alıyor. Akciğer filminde siyahlar ne kadar fazlaysa o kişinin ciğer kapasitesi ve sağlığı o kadar iyi anlamına gelir. Beyazlığın artması akciğerin kapasitesinin azaldığı anlamına gelir.

Röntgen sonuçlarında koronavirüsü geçirmiş ve sağlığına kavuşmuş kişilerin ciğerlerindeki hasarın sigara tiryakilerinden çok ama çok daha kötü olduğunu gösteren Bankhead-Kendall, “Sağlıklı bir bireyin röntgen sonucunda siyah alan büyük olur. Bu da o kişinin ciğerlerine alabileceği oksijen seviyesini gösterir. Sigara içenlerde hafif hareler yer alırken Covid-19 hastalarının ciğerleri ise bembeyazdır. Yani bu da koronavirüsü yenenlerde bile akciğer sorunları yaşanabildiğini gösteriyor” dedi.

Bankhead-Kendall, kıyaslama yapmak için sağlıklı bir bireyin akciğer filmini de paylaştı. Koronavirüsü yenen kişilerin nefes alma sorunu yaşayabileceğine dikkat çene Bankhead-Kendall, Twitter üzerinden, “Bunu kimin duyması gerek bilmiyorum fakat koronavirüsü geçirmiş bir kişinin akciğerleri, yıllarca sigara içmiş bir tiryakinin ciğerlerinden çok ama çok kötü. Bu insanlar bayılıyor, nefesleri kesiliyor ve benzeri birçok sorun yaşıyorlar” dedi.

CBS DFW’ya konuşan Bankhead-Kendall, “Birçok insan ölüm oranlarından ve koronavirüsün öldürücülüğünden bahsediyor fakat bu hastalığı yenenlerin ileride yaşayacağı sorunlar olacak” ifadesini kullandı.

YORUMLARI GÖR ( 0 )

En Çok Aranan Haberler

Kapat