HABER

Kapat

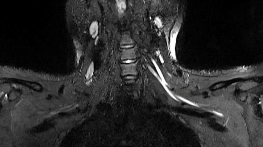
Korona neden ağrı yapıyor? İlk kez görüntülendi

Bilim insanları yeni tip koronavirüs (Covid-19) hastalarında görülen yorgunluk ve ağrının sebebini ilk kez ortaya koydu. ABD’de yer alan Northwestern Üniversitesi’nden araştırmacılar MRI ve ultrason tekniklerini birleştirerek, geleneksel yöntemlerle tespit edilemeyen Covid-19'un sinir sisteminde yarattığı hasarı kanıtladı. Geliştirilen yeni teknolojinin doktorlara, hastaları için uygun tedavi yöntemini belirlemesini sağlayarak hayat kurtarabileceği belirtildi.

Korona neden ağrı yapıyor? İlk kez görüntülendi

Yeni tip koronavirüs (Covid-19) nedeniyle ortaya çıkan semptomların sekiz hafta ya da daha uzun sürmesiyle, “uzun süreli Covid” ortaya çıkıyor. Daha önce yapılan çalışmalar, Covid-19 yakalanan her yedi kişiden biri en az dört hafta, her 20 kişiden biri en az sekiz hafta, her 45 kişiden birinin ise en az 12 hafta boyunca uzun süreli Covid-19 ile mücadele ettiğini ortaya koydu. Bununla birlikte, uzun süreli Covid-19’un etkileri kişiler arasında farklılık gösteriyor. Ancak, en yaygın görülen semptomlar arasında yorgunluk ve vücut ağrısı bulunuyor.

DAHA ÖNCE NEDENİ AÇIKLANAMAMIŞTI

Doktorlar, daha önce hastanede tedavi edilen Covid-19 hastalarının yüz üstü yatırıldığı için kollarında, bacaklarında ya da ellerinde kronik ağrılar görülebileceğini belirtmişti ancak hastanede yatmayan Covid-19 hastalarında haftalar süren ağrının kaynağını tespit edememişti.

Radiology dergisinde yayımlanan çalışmanın başyazarı Doktor Swati Deshmukh, konuya ilişkin yaptığı açıklamada, “Ağrı boynunuzdaki, dirseğinizdeki veya bileğinizdeki sorunlardan kaynaklanıyor olabilir ve bunu anlamanın en iyi yolu MRI veya ultrasondur. Yaptığımız çalışmayla çok küçük sinirleri bile gösteren gelişmiş görüntüleme sunuyoruz. Bu da sorunun nerede olduğunu tespit etmemize, ciddiyetini değerlendirmemize ve buna neyin neden olabileceğini önermemize yardımcı oluyor” ifadelerini kullandı.

KORONA SİNİR SİSTEMİNDE ŞİDDETLİ İLTİHAPLANMAYA NEDEN OLABİLİR

Bununla birlikte Doktor Deshmukh, koronavirüsün aşırı bağışıklık tepkisini tetiklemesinden dolayı, vücut tarafından üretilen antikorların sadece enfekte hücrelere değil, sağlıklı dokulara da saldırmaya zorlayarak ciddi semptomlara neden olduğunu söyledi. Bilim insanı, olayın ardından sinir sisteminde de şiddetli iltihaplanma görülebileceğini açıkladı.

Doktor Deshmukh, “Ciddi Covid-19 vakalarında vücudun bağışıklık tepkisinin akciğerlere saldırmasına benzer bir şekilde, bazı hastaların bağışıklık tepkisi sinir sistemini etkileyebilir” dedi.

DOKTORLARIN UYGUN TEDAVİ İÇİN KARAR VERMESİNİ KOLAYLAŞTIRACAK

Öte yandan, çalışmanın yazarları gelişmiş ultrason teknolojisinin kolay taşınabilir ve ucuz olduğunu, ayrıca sinir hasarını tespit etmede tomografiden daha iyi olduğunu ifade etti. Araştırmacılar, taramaların doktorların hastaları bir rehabilitasyon uzmanına mı yoksa daha ciddi durumlarda bir cerraha mı sevk edeceklerine dair karar vermelerine yardımcı olacağını aktararak, “Eğer görüntüleme enflamatuar bir tepkiye bağlı sinir hasarı bulursa, hastaya bir nöroloğa görünerek daha iyi hizmet edilebilir. Görüntüleme, hematomdan kaynaklanan sinir hasarını ortaya çıkarırsa, kan sulandırıcı ilaçların derhal ayarlanması gerekir ve hatta hastanın bir cerrahı görmesi gerekebilir” açıklamasını yaptı.

YORUMLARI GÖR ( 0 )

En Çok Aranan Haberler

Kapat