HABER

Kapat

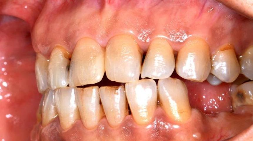
Sigara içenlerde ağız kanseri riski yüksek

Tüm dünyada 1.1 milyar kişinin, Türkiye'de ise yetişkin nüfusun yarısına yakınının kullandığı sigara, her yıl 100 bin kişinin çeşitli hastalıklar nedeniyle yaşamını yitirmesine neden oluyor. Diş Hekimi Dr. Özkan Çankaya, vücudun her bölgesi için zararı tartışılmaz olan sigaranın ağız ve diş sağlığı için oluşturduğu en büyük tehdidin "ağız kanserleri" olduğunu, bunun yanı sıra pek çok rahatsızlığı da beraberinde getirdiğini söyledi.

Sigara içenlerde ağız kanseri riski yüksek

Diş Hekimi Dr. Özkan Çankaya, kullananlarda ölümcül sonuçlara neden olan sigaranın, ilk temas kurduğu bölge olan ağız dokuları için de büyük bir tehdit oluşturduğunu belirtti. Sigara kullananların ilk sorununun ağız kokusu olacağını açıklayan Dr. Çankaya, sigaranın ağız içindeki kimyasal dengeyi etkilediğini ve dişlerde plak oluşumunu hızlandırdığını da sözlerine ekledi.

Ağız kokusunun sigaranın en masum zararlarından biri olduğunu açıklayan Dr. Çankaya, ağız kanserinin başlıca nedenlerinden birinin sigara olduğuna dikkat çekti. Dr. Çankaya, ağız kanserinin belirtileri içinde yer alan, ağız içinde veya çevresinde beyaz ya da kırmızı renkte, hassas, tahriş olmuş alanların oluşması, alt veya üst çenede meydana gelen şişlikler ve bunun sonucu protez dengesinin bozulmasının hastaların kendi kendilerine çok fazla fark edemeyecekleri durumlar olduğunu açıkladı. Bu nedenle hastalıktan korunmada, düzenli diş kontrollerinin aksatılmadan yapılması gerektiğinin altını çizen Dr. Çankaya, sigara kullanan kişinin sigarayı bıraktıktan 10 yıl sonra ağız kanseri riskinin hiç sigara kullanmayan kişiyle aynı seviyeye geleceğini belirtti.

DİŞ ETİ SAĞLIĞINI OLUMSUZ ETKİLİYOR

Diş Hekimi Dr. Özkan Çankaya, sigaranın ağız sağlığı için oluşturduğu en ciddi risklerden biri olan ağız kanserinin dışında özellikle diş eti sağlığında da olumsuz etkilerine fazlaca rastlandığını, diş etinin savunma mekanizmasını zayıflattığını ve bakterilerin diş yüzeyine yerleşmesini kolaylaştırdığını belirtti. Dr. Çankaya, sigaranın ağız için oluşturduğu tehdidin, sigaranın verdiği ısı ve içeriğinde barındırdığı yüzlerce zararlı madde nedeniyle meydana geldiğini sözlerine ekledi.

Dr. Çankaya, sigaranın neden olduğu zararları şöyle sıraladı:

  • Dilde ve tat alma duyusunda bozulmalar olur.
  • İçeriğindeki nikotin ile birlikte dişlerin üzerinde katran artıkları, koyu kahverengi lekeler oluşturur. Bu lekeler ve katran ihmal edildiğinde, bunların altında ortaya çıkan diş çürükleri ve lekeler çok zor fark edilir.
  • Ağız içindeki kılcal damarlar etkilenir ve dokuların kanlanma miktarı azalır. Buna bağlı olarak sigara içenlerde yara iyileşmesi daha zor gerçekleşir.
  • Sigara kullanan kişilerin diş eti hastalıklarına yakalanma oranı daha yüksektir. Özellikle diş eti çekilmelerine sıklıkla rastlanır.
  • Diş taşı oluşumunun artmasına neden olur.
  • Sosyal bir sorun da teşkil eden ağız kokusunun başlıca nedenlerinden biri sigara kullanımıdır.
  • Ağızda doku bozulmalarına neden olur.

Dr. Çankaya, ağız ve diş sağlığının yanı sıra tüm bedenimizin sağlığı için sigaranın bırakılması gerektiğini vurgulayarak, sigara kullanan kişilerin dişlerine daha fazla özen göstermelerinin ağız sağlıkları için önemli olduğunun altını çizdi.

(İHA)

YORUMLARI GÖR ( 0 )

En Çok Aranan Haberler

Kapat