Op. Dr. Tunç KOÇ, özellikle ileri yaştaki kişilerin bel ve sırt bölgelerinde kolaylıkla gelişen, şiddetli bel ağrısı ve sırt ağrısına neden olan kırıkların tedavisinde kullanılan modern tedavi yöntemlerden bahsetti.
Düşme ya da hafif zorlama nedeni ile gelişen omurga kırığı tedavileri için aylarca yatak istirahati önerdiğimiz birçok hasta artık kolaylıkla tedavi edilebilmekte ve şiddetli ağrılardan kısa sürede kurtulabilmektedir.
Veretbroplasti Nedir?
Vertebroplasti omurganın ön kısmında bulunan gövde bölümünün kırılması, kanser nedeni ile hasara uğraması ya da doğuştan gelen bazı damar hastalıklarının tedavisi için kullanılan özel bir girişimsel tedavi yöntemidir.

Vertebroplasti işlemi sırasında, lokal anestezi altında ve radyolojik kontrol ile, hasara uğramış olan omurga kemiği içerisine polimetilakrilat adlı kimyasal madde ( kemik çimentosu ) enjeksiyonu yapılır ve kemik sağlam hale getirilir.
Kifoplasti nedir?
Kifoplasti, vertebroplasti işlemi öncesinde kemik içerisine özel bir balon yerleştirilerek balonun şişirilmesi ile kırılmış olan kemikteki yükseklik kaybının olabildiği ölçüde düzeltilmesi, daha sonra da balonun kemik içerisinden çıkartılarak balon sayesinde kemik içinde yaratılan boşluğa kemik çimentosu enjeksiyonu yapılmasıdır.

Hangi durumlarda vertebroplasti ya da kifoplasti yapılır?
Vertebroplasti ve kifoplasti en sık olarak osteoporoza bağlı omurga kırıklarında uygulanır. Halk arasında kemik erimesi olarak tanınan osteoporoz, kemik yoğunluğunu azaltır, kemiklerin sertliklerini azaltıp daha dirençsiz ve kolay kırılabilir hale gelmelerine yol açar. İleri yaştaki hastalarda basit düşmeler, çarpmalar, ağır kaldırmalar omurga kemiklerinde kompresyon kırığı olarak adlandırdığımız kırıklara yol açabilirler. Aynı biçimde kemikte erimeye neden olan kanser metastazları, hemanjiom, myelom olarak adlandırılan hastalıklarda da vertebroplasti ve kifoplasti yöntemleri kullanılır?

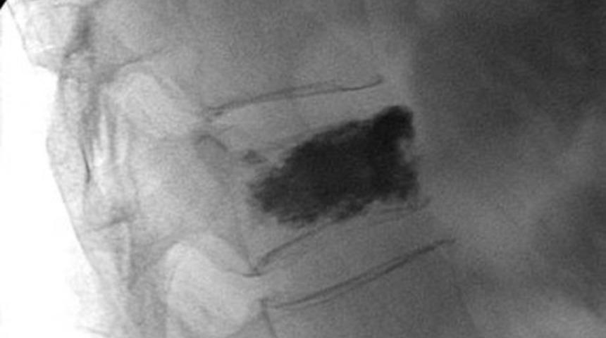
Vertebroplasti ve kifoplasti nasıl yapılır?
Her iki işlem de genel anestezi uygulaması gerektiren işlemler değildir, lokal anestezi ve damardan uygulanan sakinleştirici ilaçlar yardımı ile yapılabilirler. Yüzüstü pozisyonda, hastanın kırığının bulunduğu seviye steril olacak şekilde temizlenir, fluoroskopi adını verdiğimiz özel bir görüntüleme sistemi ile kırık kemik görüntülenir. İşlem sırasında sürekli olarak radyolojik kontrol yapılır. Cildin kesilmesi gerekmez, sadece özel iğnenin geçebileceği kadar birkaç milimetre uzunluğunda bir cilt kesisi yeterlidir. Sürekli olarak radyolojik kontrol altında iğne kemiğin kırık bölgesine kadar uzatılır ve daha sonra iğnenin içinden kemik çimentosu enjekte edilir. İşlem yapılacak uygulamanın çeşidine göre, 15 dakika ile 30 dakika arasında sürer. Birkaç dakika içinde, enjekte edilen kemik çimentosu kemiğin içinde sertleşmeye başlar ve bir saat içinde tamamen donar.
Ağrı ne zaman geçer?
Vertebroplasti ve kifoplasti işleminden hemen sonra ağrı kaybolur. İşlem ertesinde çoğu hastada ağrı kesici ilaçları kullanmaya dahi gerek kalmaz.
Avantajları nelerdir?
Özellikle ileri yaştaki hastalarda haftalar ya da aylar süren yatak istirahati, korse gibi uygulamaların zorluğu ve ortaya çıkardığı diğer sağlık sorunları, uzun süre devam eden ağrının kontrolündeki güçlük gibi sıkıntılardan hastayı kurtardığı için bu tedavi yöntemleri son derece önemli avantajlara sahiplerdir. Vertebroplasti ve kifoplasti yöntemleri ile tedavi edilen hastaların neredeyse tamamı, ağrının % 90 ının bıçak gibi kesildiğini ifade ederler.
Hangi durumlarda uygulanmaz?
Hastada kan pıhtılaşma bozukluğu var ise, uygulama bölgesinde enfeksiyon bulunuyorsa bu işlemlerin yapılması sakıncalıdır. Omurga kemiklerinin omurilik ve sinirlerin bulunduğu omurga kanalına doğru bakan yüzeylerinde bulunan kırıklar, kemik çimentosunun omurga kanalına doğru sızması riskini oluşturacağı için vertebroplasti işlemine uygun değildir. Özellikle de bu yüzeyden kopan bir kemik parçasının omurga kanalının çapını daraltması durumunda ya da kırığa bağlı gelişmiş felç far ise bu işlemler uygun değildirler.
**SORU VE GÖRÜŞLERİNİZ İÇİN: drtunckoc@mynet.com
**