Yirmi yaş dişleri, hepimizin bildiği gibi ağzımızda en son süren üçüncü azı dişleridir. Bu dişlere bazı kültürlerde akıl dişleri de denir. ( Wisdom Teeth ) Genellikle 17 ile 25 yaşları arasında çıkarlar.
Eğer doğru pozisyonda sürerlerse ve çevre dokulara zarar vermiyorlarsa bu dişlerin çekilmesine gerek yoktur. Panoramik röntgen kontrolü sonucu tespit edilebilen ve çene kemiği içinde anormal pozisyonlu bir yirmi yaş dişinin ileride yol açacağı zararlar göz önüne alınarak çekimine karar verilebilir.
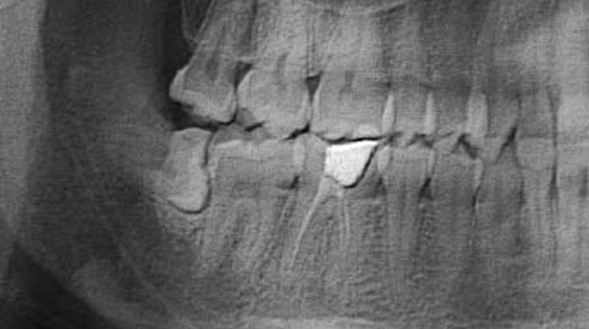
Çene kemiğindeki yer darlığı nedeniyle bu dişler çıkarlarken çene kemiğine ya da bir öndeki dişe takılabilirler.
Diş hekimi İbrahim Hepdarcan bunun nedenini insanoğlunun ve çene kemiğinin binlerce yıl içerisinde geçirmiş olduğu evrim sonucu olarak küçülmesi ve yirmi yaş dişlerinin küçük çene kemiği içerisinde yeterli yer bulamamasından kaynaklandığını söylemektedir.
Sorun çıkaran yirmilik dişlerin çekilmesini gerektiren sorunlar şunlardır.
Çürük,
Dişeti hastalıkları,
Basınç ağrısı,
Ortodontik sebepler,
Protez yapımı ile ilgili sebepler,
Kist oluşumu.

Kötü pozisyonlu bir yirmi yaş dişi enfeksiyon için bir sebeptir;
Yeterli temizlenemeyen yirmilik dişler zamanla çürümeye başlar. Eğer tedavi edilmezse enfeksiyona yol açar.
Ayrıca bu dişleri temiz tutmak zor olduğundan biriken bakteri ve yiyecek artıkları kötü ağız kokusuna sebep olur.
Yirmi yaş dişlerinin çekilmesi için en uygun zaman 18 ila 25 yaşları arasıdır. Fakat bu operasyon ileriki yaşlarda da yapılabilmektedir.
Akut- aktif enfeksiyonun olduğu durumlarda, yanakta şişlik varsa diş kesinlikle çekilemez.
Verilen ilaçlarla enfeksiyon kontrol altına alındıktan sonra çekim gerçekleştirilir.
Yirmi yaş dişi operasyonları hasta açısından isminin operasyon olması dolayısıyla ne kadar korkutucu olsa da, yapılacak olan lokal anestezi işleminden sonra diş bağlı bulunduğu dokulardan alınır. Anestezi ve gerekli şartlar sağlandığında korkulacak hiçbir yanı yoktur.
Operasyon öncesi ve sonrası talimatlarına uyan kişiler normal bir diş çekimi yaptırmış gibi rahat bir iyileşme dönemi geçirebilirler.
Sistemik bazı hastalıkları olan kişilerde buna bağlı kullanılan bazı ilaçlar operasyon öncesinde uygun şekilde düzenlendikten sonra operasyonun uygulanmasında hiçbir sakınca yoktur.
Diş hekimi İbrahim Hepdarcan, öğrencilerin, özellikle de üniversite seçme sınavına hazırlanan gençlerin önümüzdeki sınav dönemlerinde yirmi yaş dişi rahatsızlıkları yaşamamaları için şimdiden diş hekimlerine gidip kontrollerini yaptırmalarını tavsiye etmektedir.