HABER

Kapat

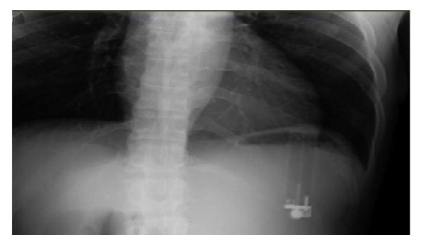
Yuttuğu çakmak yüzünden ülser oldu

Amerika'da bir adam, karnındaki ağrının sebebinin daha önce yuttuğu bir çakmak olduğunu ve çakmağın midesine zararlı bir sıvı akıttığını öğrendi. Ağustos 2016'da şiddetli karın ağrısı, mide bulantısı ve istifra şikayetleriyle hastaneye giden 49 yaşındaki Amerikalı adama yapılan kan ve idrar testleri temiz çıkarken, röntgen sonuçlarında çakmak benzeri bir madde görüntülendi.

Yuttuğu çakmak yüzünden ülser oldu

Ağustos 2017'de Case Reports in Emergency Medicine dergisinde yayınlanan makalede, "röntgende görüntülenen çakmağın" adamın midesinde ters bir şekilde durduğu ve mideye zehirli ve kimyasal bir sıvı akıttığı söylendi. Bu sıvı, 49 yaşındaki adamın midesinde en genişi 5 mm olmak üzere, birçok gastrit-ülser yarası oluşmasına sebep oldu.

"OLDUKÇA EŞSİZ BİR PROBLEM"

Makalede, "Çakmaklar hem vücutta tıkanmaya sebep olma hem de vücuda zarar verecek sıvı akıtma nedenleriyle oldukça eşsiz bir problem. Çakmakların akıttığı sıvılarda bulunan zararlı maddeler arasında benzin, bütan, heksamin, gazyağı ve propan bulunuyor" denildi.

AMERİKALI ADAM ÜLSERİ İÇİN SEKİZ HAFTA BOYUNCA DÜZENLİ İLAÇ KULLANDI

49 yaşındaki adamın kendi mide asidiyle birleşen çakmağın akıttığı sıvı, midede gastrit yaralarının oluşmasına sebep oldu. Zararlı sıvı, mide derisini eriterek mide asidini ortaya çıkardı. Konuyla ilgili Florida Üniversitesi Tıp Fakültesi gastroenterologu Dr. Asim Shuja, "Dış maddeler sebebiyle meydana gelen ülser çok yaygın bir durum değil" dedi.

Endoskopi kullanılarak çıkarılan çakmaktan sonra Amerikalı adam ülseri için sekiz hafta boyunca düzenli ilaç kullandı ve iki ay sonraki doktor kontrolünde ülserin iyileştiği belirtildi.

YORUMLARI GÖR ( 0 )

En Çok Aranan Haberler

Kapat