HABER

Kapat

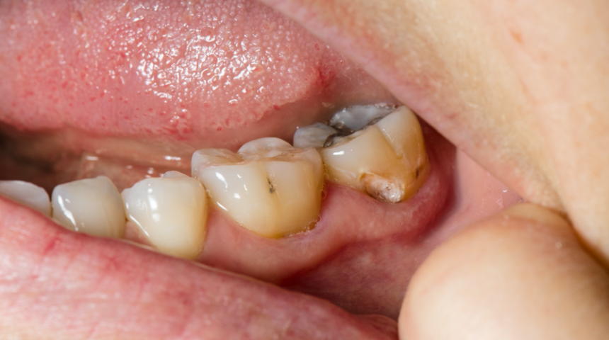
Diş çürüklerini tespit etmede dondurmanın rolü

Diş Hekimi Cüneyt Aldemir, "Dondurmayı yediğiniz zaman dişinizin daha fazla sızladığını hissediyorsanız, bilin ki o bölgelerde kısmi çürükler var demektir" dedi.

Diş çürüklerini tespit etmede dondurmanın rolü

Dondurmanın besleyici ve mutluluk hormonu arttırıcı özelliğinin yanı sıra diş sağlığı açısından da yararlı bir gıda maddesi olduğunu bilinirken, dondurmanın ayrıca diş çürüklerini algılamada rol oynadığı kaydedildi. Diş hekimi Aldemir, dondurmanın dişlerinde problem olan kişilerde hassasiyeti artırdığını, çürük dişlerde ise sızlamaya yol açtığını söyledi. Dondurmanın diş çürüklerini kontrol etme mekanizması olabileceğini belirten Aldemir, "Dondurmayı yediğiniz zaman dişinizin daha fazla sızladığını hissediyorsanız, bilin ki o bölgelerde kısmi çürükler var demektir. O nedenle dondurma diş çürüklerini bir yönde test etme mekanizması olarak kullanılabilir. Dondurma yerken sızlama belirtileri varsa bir diş hekimi kontrolünden geçmenizde fayda var" diye konuştu.

BOYAYICI VE ASİT İÇEREN MADDELER ÇÜRÜĞE NEDEN OLUR

Aldemir, uygun olmayan yerlerden alınan dondurmanın ise dişe birçok zararı olduğunu ifade ederek, "Diş sağlığı açısından uygun olmayan yerlerden alınan dondurmalar içerisinde bulunan boya malzemesi asitik özelliğinden dolayı dişe zarar verebilir. Günümüzde çocuk dişlerinin renklenmelerine ve çürümelerine sebep olan en büyük faktörlerden birisi boyayıcı ve bu asit içeren maddelerden kaynaklandığın bilinmektedir. O nedenle dondurma özellikle güvenilir yerlerden alınmalı" şeklinde konuştu.

(İHA)

YORUMLARI GÖR ( 0 )

En Çok Aranan Haberler

Kapat