İskoçya’nın Dundee şehrinde akıllara durgunluk veren bir olay yaşandı. British medical journal’da yer alan habere göre 42 yaşındaki bir kadın gözündeki şikayet nedeniyle doktora başvurdu.
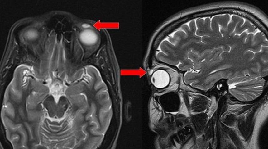
Gözünde şişme ve görme kaybı şikayetiyle hastaneye başvuran kadına MR çekildi. Göz kapağında bir çeşit kist olduğu düşünülen adı açıklanmayan kadına cerrahi operasyon yapılacağı bildirildi.

Operasyon sonucunda kadının gözünden çıkarılan şey doktorları da şaşırttı. Göz kapağının üst kısmından zarar görmüş eski bir lens çıkarılan kadın, bir anda 28 yıl öncesine geri döndü.
Yıllar önce badminton oynadığı sırada gözüne top çarpan kadın, acılar içerisinde yerde kalmıştı. Lensinin gözünden düştüğünü sanan kadın, tüm çabalarına karşın lensi hiçbir yerde bulamadı.

Birkaç gün ağrı yaşadıktan sonra sağlığına kavuşan ve yeni bir çift lens kullanmaya başlayan kadın, 28 yıl boyunca düştüğünü sandığı lensi göz kapağında taşıdığını öğrendi.